Симптомы и лечение гайморита у детей имеют некоторые особенности, которые связаны с анатомической структурой носа. В отличие от взрослых, у деток соустья в носу очень узкие, поэтому любая простуда может быстро спровоцировать гайморит. Это заболевание протекает у детей очень тяжело и доставляет немало дискомфорта. Учитывая, что гайморовы пазухи находятся в непосредственной близости от мозга, есть большая вероятность того, что воспаление затронет и мозговые оболочки. Именно поэтому при первых признаках болезни нужно обращаться в больницу и приступать к лечению.
Особенности строения синусов у ребёнка
Строение черепа маленьких детей немного отличается от взрослых. У деток до 3 лет основание верхнечелюстных придатков находится чуть выше, чем у взрослых. У новорождённого ребёнка как таковых гайморовых пазух нет. У младенцев придаток выглядит как узенькая щель, но по мере роста малыша она увеличивается в размерах и уже в 8 лет приобретает специфические очертания. У подростков старше 14 лет гайморит протекает уже по той же схеме. Что и у взрослых людей.
Строение и пневматизация верхнечелюстных пазух заметно меняется к 4 годам ребёнка. Именно с этого возраста возможно развитие гайморита.
У ребёнка возрастом 2-3 года гайморит развиться не может из-за особенностей строения черепа.
Верхнечелюстная пазуха одновременно выполняет несколько важных функций в организме;
- Полости, через которые проходит воздух, несколько уменьшают вес костной массы черепа.
- При травмах лица придатки выполняют противоударную роль.
- Благодаря носовым пазухам воздух очищается, увлажняется и прогревается до комфортной температуры.
- Верхнечелюстные придатки участвуют в формировании тембра голоса, придавая ему своеобразный резонанс.
- Пазухи выполняют защитную функцию для чувствительных к потоку холодного воздуха структур – глаз и корней зубов.
- В полостях пазух есть особые клетки, которые чувствительны к перепадам атмосферного давления.
Детки младшего возраста очень чувствительны к любым изменениям окружающей среды. Это объясняется тем, что верхнечелюстные пазухи ещё не сформированы должным образом, поэтому не выполняют своих функций в полной мере.
Гайморит у детей нередко протекает бессимптомно, напоминая насморк. Иногда вирусная форма болезни самостоятельно проходит за неделю, но чаще переходит в бактериальную форму.
Мнение врачей:
Гайморит у ребёнка может проявиться симптомами, такими как насморк, заложенность носа, головная боль, повышение температуры. Важно обратить внимание на изменения в поведении ребёнка, его аппетите и общем самочувствии. Лечение гайморита у детей обычно включает прием антибиотиков, противовоспалительных препаратов, промывание носа солевыми растворами. Родителям следует обратиться к врачу при первых признаках заболевания, чтобы избежать осложнений и обеспечить быстрое выздоровление ребенка.

Причины
Гайморит у детей может возникать по разным причинам. Иногда одновременно несколько причин приводят к развитию патологии:
- Осложнение после перенесённых ОРЗ или гриппа. Во время респираторных заболеваний слизистая носа сильно отекает и приводит к затруднению оттока слизи из носовых придатков. В итоге слизь накапливается и если в полость носа попадают болезнетворные бактерии, начинается сильный воспалительный процесс.
- Причиной гайморита у ребёнка может быть и ринит аллергической природы. Попавшие в полость носа раздражители провоцируют сильнейший отёк носа, что нарушает отток слизи.
- Травма носа тоже может вызвать болезнь. Любые нарушения носовой перегородки, а также ушибы могут привести к хроническому гаймориту.
- Инфекционное заболевание. Детский гайморит чаще всего возникает на фоне снижения иммунитета. Любой очаг инфекции в организме может привести к этому неприятному заболеванию.
- Очень редко заболевание развивается как осложнение остеомиелита, периостита и других патологий костной ткани.
- Некорректная работа кровеносных сосудов тоже может со временем вызвать болезнь. При вегетососудистой дистонии нарушается кровоснабжение верхнечелюстных придатков, что приводит к застойным явлениям и развитию инфекции.
- Привести к болезни может и хронический аденоидит. При сильном разрастании миндалин они перестают выполнять свои защитные функции и становятся хроническим источником инфекции в организме;
- Болезни полости рта. Спровоцировать болезнь у ребёнка могут кариозные зубы или стоматит.
- Сильно сниженный иммунитет. Защитные силы организма сильно ослаблены, поэтому он становится особенно восприимчивым к вирусам и бактериям. Эта причина наиболее характерна для детей до 7 лет.
- Врождённые аномалии строения носовой перегородки. Такие нарушения приводят к затруднению оттока слизи, что в результате приводит к застойным явлениям.
- Генетическая предрасположенность. Довольно часто гайморитом болеют дети с муковисцидозом.
Очень важно определить причину болезни и устранить её. Благодаря этому лечение проходит легче, и выздоровление наступает быстрее. Чем раньше начата необходимая терапия, тем лучше прогноз.
При первых признаках болезни необходимо обращаться к врачу. Только опытный отоларинголог сможет правильно определить причину болезни и назначить соответствующее лечение.
Диагностика
Болезнь диагностируется по результатам осмотра больного, сбора анамнеза и данных исследований. Помогают распознать болезнь и жалобы родителей. Стоит понимать, что у ребёнка до 5 лет врачу редко удаётся что-либо узнать, так белый халат и вся больничная обстановка очень пугают малыша. Именно поэтому основную информацию доктору доносят родители.
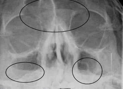
Если у врача есть подозрения на воспаление верхнечелюстных пазух, то пациенту назначают рентген или компьютерную томографию. Эти два метода обследования позволяют абсолютно точно увидеть признаки гайморита у детей.
Рентген не всегда может быть информативен в постановке диагноза у ребёнка. Слизистая оболочка носовой полости у детей довольно плотная и отекает при любых инфекционных процессах в носоглотке. На снимке отёкший участок просматривается как затемнение пазухи, что не всегда соответствует действительности.
Больного в обязательном порядке направляют на анализы крови и мочи. Это необходимо, чтобы выявить степень воспалительного процесса и точно понять причину патологии.
Гайморита у грудничков и деток до 3 лет быть не может. Поэтому если у крохи даже сильно забит носик – это всего лишь насморк.

Опыт других людей
Гайморит у ребёнка – серьезное заболевание, вызванное воспалением слизистой оболочки пазух носа. Родители обращают внимание на такие симптомы, как насморк, заложенность носа, головная боль, повышение температуры. Важно своевременно обратиться к врачу, который назначит лечение, включающее прием антибиотиков, муколитиков, сосудосуживающих капель. Для облегчения дыхания и уменьшения отечности слизистой помогают носовые промывания и ингаляции. Необходимо следовать рекомендациям врача и не заниматься самолечением, чтобы избежать осложнений.
Симптоматика болезни
На первых порах симптомы гайморита у детей нередко путают с обычным респираторным заболеванием, потому обращаться за помощью к врачу не спешат. За счёт этого теряется драгоценное время и нередко патология переходит в гнойную или хроническую стадию.
Первыми признаками гайморита у детей и подростков являются такие нарушения здоровья:
- Сильнейшая головная боль. Такая боль локализована, чаще всего сильно болит лоб, в области переносицы, и виски. Болевой синдром больше выражен с той стороны, где поражена гайморова пазуха. Если ребёнок наклоняет головку вперёд, чихает или кашляет, то болеть начинает сильнее. В горизонтальном положении боль вообще не проявляется. Головная боль при гайморите у ребёнка может носить постоянный характер. Болевые ощущения лишь немного меняются в зависимости от того, какое положение тела принял больной.
- Боль в зубах. Корни передних зубов находятся в непосредственной близости от гайморовых пазух, их разделяет только тонкая перегородка. Поэтому зубы чутко реагируют на любые изменения в носовых пазухах. При этом боль только усиливается при пережёвывании пищи.
- Постоянная заложенность носа. Это происходит при накоплении в носовых придатках слизи и гноя. Дети до 6 лет часто жалуются родителям, что у них не дышит одна ноздря. При этом закладывает то один, то второй носовой ход.
- Повышенная температура тела. Особенно сильно выражена гипертермия в том случае, если гайморит перешёл в гнойную стадию. Это связано с сильным воспалительным процессом и значительным количеством болезнетворных организмов в носовой полости;
- Выделения из носа. Такие выделения могут иметь вид бесцветной слизи или быть гнойными. Даже если ребёнок высморкнется, то такая процедура не принесёт ему ожидаемого облегчения и уже через несколько минут понадобится носовой платок.
- Понять что у маленького ребёнка гайморит можно по покраснению и отёчности щёк. Обычно покраснение более выражено с той стороны, где воспалён придаток.
- Нарушение общего самочувствия. Заподозрить что-то неладное внимательные родители могут и по изменившемуся поведению ребёнка. Он становится вялым, апатичным, цвет лица приобретает сероватый оттенок, а аппетит значительно ухудшается.
- У больного ребёнка снижено обоняние. Он плохо воспринимает или вообще не воспринимает даже резкие запахи.
- Появляется гнусавость в голосе. Это характерный признак того, что в носовых пазухах есть застойное явление.
- Симптомы гайморита у подростков и детей дополняются болезненностью горла и его сухостью. Этот признак характерен для хронической формы болезни.
- У больного гайморитом часто бывает озноб. И если при других патологиях это состояние дополняет высокую температуру, то при гайморите озноб может быть внезапным и беспричинным.
Определить гайморит у ребёнка несложно и таким методом. Больному малышу легонько надавливают на область щёк или внутренние уголочки глаз. Такие манипуляции вызывают приступ боли у кохии. К боли приводят и надавливания на переносицу.
При появлении одного или нескольких характерных симптомов необходимо сразу же обращаться к врачу для обследования и постановки диагноза. Не рекомендуется заниматься самолечением, так как это может привести к ухудшению состояния и переходу болезни в хроническую форму.
Родители должны внимательно следить за здоровьем своих детей. В основном от их бдительности зависит, как быстро будет начато лечение.

Лечение
Лечение гайморита у детей всегда комплексное и ведётся по нескольким разным направлениям. Назначаемая врачом терапия зависит от стадии болезни, а также степени её проявления.
Промывания носа

Раствор для промывания носа можно купить в аптеке – это Аква Марис и физраствор, а можно приготовить самостоятельно из литра воды и чайной ложки морской соли. Для промывания солёной водой используют специальный чайничек или резиновую спринцовку.
Для промывания носа можно приготовить раствор из поваренной соли. Для этого на литр воды берут чайную ложку сухого вещества и 2 капли спиртового раствора йода.
Сосудосуживающие капли
Назначаются для уменьшения отёка и воспаления в носу. Благодаря таким лекарственным препаратам значительно облегчается носовое дыхание и улучшается отток вязкой слизи. Чаще всего назначают Назол, Ринорус и Виброцил. Стоит учитывать, что сосудосуживающие капли долго использовать нельзя, так как быстро возникает привыкание. Продолжительность лечения не должна превышать 5 дней.
При лечении детей не стоит использовать Нафтизин, так как у этого препарата слишком много побочных эффектов.
Антибиотики
При лечении гайморита бактериального происхождения обязательно применяют антибактериальные препараты. Если бакпосев из носа не брался и возбудитель неизвестен, то прописывают антибиотики большого спектра действия. Это могут быть препараты пенициллинового ряда, сульфаниламиды и макролиды. Неплохо зарекомендовал себя препарат Азитромицин. Принимать его необходимо всего несколько дней, так как действие пролонгированное.
При выборе антибиотика для лечения гайморита стоит учитывать чувствительность ребёнка к той или иной лекарственной группе. Нередко пенициллины провоцируют сильнейшую аллергию.
Другие методы лечения
При гайморите у ребёнка применяются и иные методы лечения. Чтобы вылечить гайморит у ребёнка, доктор может назначить процедуру под названием “Кукушка”. Суть метода заключается в промывании носовых ходов разными антисептическими растворами. Чаще всего используется раствор Фурацилина. В одну ноздрю заливают лекарственный раствор, а из другой ноздри его удаляют специальным насосом. При этом полость носа хорошо промывается и дыхание облегчается.
При гайморите у детей частенько назначают физиотерапевтические процедуры. Это электрофорез, УВЧ и лазеротерапия. Эти процедуры улучшают кровообращение в носу и облегчают эвакуацию вязкой слизи. Каждая из процедур имеет определённые противопоказания, поэтому проводят их только по назначению врача.
Если консервативное лечение продолжительное время эффекта не даёт, то прибегают к проколу гайморовой пазухи. Операцию проводят под местным наркозом, поэтому дискомфорта она не доставляет.
В лечении гайморита у детей неплохо помогают различные народные рецепты. В нос ребёнка можно несколько раз в день капать свежий сок моркови или свёклы, а также сок каланхоэ. При закапывании последнего лекарственного средства больной начинает сильно чихать, благодаря чему отходит значительное количество слизи. Несколько раз в день ребёнку нужно смазывать носовые ходы мазью, которая приготовлена на основе прополиса.
Частые вопросы
Как узнать есть ли гайморит у ребенка?
Диагностика гайморита Может проводиться рентгенологическое исследование околоносовых пазух для оценки степени заполнения или изменений в пазухах. Если врач заподозрит воспаление в решетчатых клетках, в лобных или клиновидных пазухах, может понадобиться компьютерная томография.
Какая температура при гайморите у детей?
Боль распирающая, давящая, локализуется в области переносицы, усиливается при наклонах, физических нагрузках, а также в вечернее время и после сна. При остром гайморите у ребенка повышается температура. При скоплении гнойных слизистых масс в пазухе температура высокая, может достигать отметки 39–40°С.
Какой антибиотик дают детям при гайморите?
К представителям данной группы антибиотиков относится Флемоксин, Амоксиклав, Аугментин, Флемоксин. Лекарства широко применяются в лечении гайморита у малышей. Для них продаются препараты в форме суспензии с добавлением фруктовых наполнителей для придания приятного вкуса.
Как отличить гайморит от обычного насморка?
От “обычного насморка” гайморит можно отличить характерной болью в придаточных (гайморовых) пазухах носа, тянущими болями над глазами и переносицей. Нос заложен, чувствуется недомогание и тяжесть в голове, температура немного повышена. Лицо становится отечным.
Полезные советы
СОВЕТ №1
При первых признаках гайморита у ребёнка обратитесь к педиатру для точного диагноза и назначения лечения.
СОВЕТ №2
Следуйте рекомендациям врача относительно приёма препаратов, режима питания и общего ухода за ребёнком во время заболевания.
СОВЕТ №3
Обеспечьте ребёнку покой и комфортные условия для быстрого выздоровления, не допуская переутомления.









