Пневмоторакс – это разрыв патологически изменённой части лёгкого, с образованием небольшого отверстия, сквозь которое воздух выходит в плевральную область. Чаще развивается стремительно, после активных физических нагрузок и сильного кашля. В основном бывает у больных туберкулёзом, онкологическими заболеваниями лёгких и с бронхоэктазами. Алгоритм оказания неотложной помощи при спонтанном пневмотораксе сводится к борьбе с болевым синдромом, а также устранении дыхательной и сердечной недостаточности.
Виды пневмоторакса и клинические проявления

Основные проявления напряжённого пневмоторакса сводятся к нестерпимым болям в грудине, которые только усиливаются при дыхании. Очень часто у такого больного начинается шоковое состояние, быстро развивается одышка, что при клапанном пневмотораксе со временем лишь увеличивается.
Больной пытается занять полусидящее положение, так ему дышать легче, снимается напряжение. При обследовании пациента можно заметить, что одна часть грудной клетки отстаёт в дыхательном акте. В определённых случаях проявляется подкожная эмфизема, когда немного воздуха попадает под кожу. Такой дефект можно определить при прощупывании грудной клетки.
В тяжёлых случаях может быть смещение внутренних органов, которое приводит к остановке сердца.
Мнение врачей:
При спонтанном пневмотораксе неотложная помощь играет решающую роль в спасении жизни пациента. Врачи рекомендуют немедленно обратиться в медицинское учреждение при появлении острой боли в груди, затрудненном дыхании и быстром сердцебиении. На месте происшествия следует предоставить пострадавшему покой и поддерживать его в сидячем положении. Не стоит пытаться самостоятельно устранять пневмоторакс, так как это может усугубить состояние. Быстрая и правильная медицинская помощь способствует успешному лечению и предотвращению осложнений.
https://youtube.com/watch?v=3INNVs_mOxY
Причины
Заболевание может развиваться по нескольким причинам, медики различают два механизма возникновения патологии:
- Травматического плана. Сюда относятся травмы грудной клетки, что сопровождаются деформацией лёгкого частями поломанных рёбер. Ранения грудины и органов дыхания, неправильно проведённые диагностические процедуры.
- Патологического плана. В этом случае пневмоторакс начинается при некоторых заболеваниях органов дыхания или же пищеварения.
Патологический процесс может быть односторонним, двухсторонним, а также осложненным и неосложнённым.
При двухстороннем тотальном пневмотораксе сильно нарушается дыхательная функция, что может за малый срок привести к смерти пациента.
Диагностирование болезни
Даже при первом осмотре пострадавшего можно увидеть основные признаки, которые говорят о проникновении воздуха в плевральную область:
- Человек пытается принять вынужденное положение, полусидя, именно в таком состоянии ему легче дышать.
- Кожа больного покрывается липким и холодным потом, наблюдается синюшность кожи.
- Сильно выражена одышка, человек тяжело и шумно дышит.
- Заметно расширение межрёберного пространства, подвижность грудной клетки в месте поражения сильно ограничена.
- Артериальное давление стабильно снижено, наблюдается тахикардия, при этом сердце немного сдвигается в здоровую сторону грудной клетки.
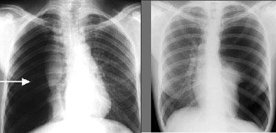
Чтобы подтвердить диагноз, больного направляют на рентгенологическое обследование. На снимке специалист может заметить светлую зону в стороне поражения, на этом участке отсутствует лёгочный рисунок. Зона поражения отделена чёткой границей от спавшегося лёгкого.
Больные с подозрением на пневмоторакс экстренно направляются в хирургическое или пульмонологическое отделение.

Опыт других людей
Оказание неотложной помощи при спонтанном пневмотораксе играет решающую роль в спасении жизни человека. Люди, столкнувшиеся с этой ситуацией, отмечают, что быстрая реакция окружающих, знание основных методов первой помощи и своевременное обращение к медицинским специалистам способствуют полному восстановлению здоровья. Важно помнить, что признаки пневмоторакса могут быть различными, поэтому обращать внимание на изменения в дыхании, боли в груди и общее недомогание необходимо. Следует помнить, что каждая минута имеет значение, и оперативные действия могут спасти жизнь человека.
Необходимая помощь
Пневмоторакс – это угрожающее жизни состояние, которое требует быстрого оказания экстренной помощи. Уметь оказывать помощь таким больным должно как можно больше людей. В этом случае помочь может не только медработник, но и любой человек, ведь больного главное успокоить, придать ему удобное положение, обеспечить достаточное поступление воздуха и обязательно позвонить в скорую помощь.
Неотложная помощь при спонтанном пневмотораксе открытого типа заключается в наложении стерильной марлевой повязки, которая герметично закроет рану на грудной клетке. Подобную повязку можно соорудить с использованием целлофана или же плотного слоя ваты, который обмотан бинтом.
Если диагностирован клапанный пневмоторакс, то следует провести плевральную пункцию, чтобы убрать воздух из органа дыхания и расправить его.
При напряжённом пневмотораксе необходимую помощь человеку оказывают по такому алгоритму:
- Удобно размещают больного. Оптимальное положение при пневмотораксе полусидя, при этом нужно расстегнуть пуговицы, ремни и обязательно открыть окно.
- Дают обезболивающие препараты. Это может быть анальгин, Найз, Нурофен или иные лекарственные препараты этой группы. Желательно обезболивающие препараты вводить внутримышечно, но можно обойтись и таблетками.
- При клапанном пневмотораксе в 2-3 межрёберный просвет вводят иглу большого диаметра, для предотвращения открытого пневмоторакса. После этого, не вытаскивая иглу, больного быстро доставляют в больницу.
- Если больной в состоянии коллапса, то помощь оказывается по стандартному протоколу.
Очень важно быстро вызвать скорую помощь, стоит понимать, что чем быстрее будет оказана помощь, тем лучше прогноз.

Прогноз
При своевременно оказанной первой помощи прогноз хороший. Больной ещё некоторое время должен находиться в стационаре под присмотром опытного медперсонала. Обязательно проводится симптоматическое лечение, направленное на стабилизацию работы сердца и дыхательной функции.
После заболевания больной ставится на учёт и регулярно наблюдается у пульмонолога, периодически делая рентген грудной клетки. После спонтанного пневмоторакса человек должен изменить образ жизни. Необходимо соблюдать гигиену труда и отдыха, а также исключить тяжёлые физические нагрузки.
Осложнения
Осложнения пневмоторакса бывают практически у половины больных. Самыми распространёнными осложнениями считаются плеврит, гемопневмоторакс – если в плевральную область попала кровь, и эмпиема плевры. Также может быть ригидное лёгкое, при этом состоянии дыхательный орган не расплавляется из-за обильного разрастания соединительной ткани, и сильная дыхательная недостаточность.
Очень часто, особенно при клапанном пневмотораксе, бывает подкожная эмфизема. Спонтанный пневмоторакс довольно часто бывает с рецидивами. При сильном смещении органов грудной клетки могут развиться патологии сердечно-сосудистой системы. Ещё некоторое время после попадания воздуха в плевральную полость может наблюдаться тахикардия и нестабильное артериальное давление.
Больные спонтанным пневмотораксом подлежат срочной госпитализации в хирургическое отделение или отделение интенсивной терапии. Транспортируются больные обязательно в положении полусидя или же лёжа, но на носилках должна быть приподнята головная часть. В машине скорой помощи доктор должен продолжить все лечебные мероприятия, чтобы были начаты дома.
Частые вопросы
Что делать при спонтанном пневмотораксе?
В качестве первой помощи при спонтанном пневмотораксе выполняется обезболивание и дренирование плевральной полости — в плевральную полость проводится тонкая трубка, свободный конец которой опускается под воду (создается так называемый «водяной замок»).
Какая первая помощь при пневмотораксе?
Первая помощь при пневмотораксе открытого типа сводится к наложению повязки. Если болезнь клапанного типа, то нужно срочно сделать пункцию и удалить воздух. Дальше требуется операция пневмоторакса, при которой выполняют зашивание всасывающего клапана. После оперативных действий пациента переводят в стационар.
Что необходимо выполнить при напряженном пневмотораксе?
Лечение напряженного пневмоторакса проводят в неотложном порядке методом игольчатой декомпрессии путем введения иглы большого диаметра (например, калибра 14 или 16) во 2-й межреберный промежуток на уровне среднеключичной линии. Воздух при этом обычно выходит.
Как называется повязка при оказании первой помощи при пневмотораксе?
Окклюзионная повязка используется при пневмотораксе, дополняет кровоостанавливающие средства при порезах и рваных ранах.
Полезные советы
СОВЕТ №1
При подозрении на спонтанный пневмоторакс у пострадавшего, необходимо немедленно вызвать скорую помощь и обеспечить пострадавшему покой. Не рекомендуется самостоятельно пытаться устранить пневмоторакс.
СОВЕТ №2
При наличии медицинских навыков и доступе к необходимому оборудованию, можно провести процедуру торакоцентеза для снятия воздуха из плевральной полости. Однако это должно быть сделано только опытным специалистом.
СОВЕТ №3
Важно следить за состоянием пострадавшего, обеспечивать ему доступ к свежему воздуху и поддерживать его в положении, облегчающем дыхание. При признаках ухудшения состояния немедленно сообщите об этом медицинским работникам.






