Злокачественные новообразования, которые образуются в лёгких из поверхностных клеток лёгочного органа, называются карциномой. Канцероматоз лёгких – это обширное поражение всего дыхательного органа метастазами. Они могут быть единичными или множественными. Растут очень быстро. При обнаружении подобных симптомов прогноз неблагоприятный.
Описание картины и симптоматики заболевания
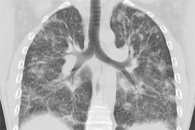
Узлы метастазов имеют ровные края, в редких случаях — волнистые. Когда лёгкие расширяются во время вдоха, форма теней на флюорографии не меняется, нарушения структуры тканей не наблюдается. Множественные метастазы сопровождаются увеличенными лимфоузлами, находящимися в корнях и средостении лёгочного органа.
Поначалу на снимках грудной клетки отчётливо видна деформация лёгочного рисунка. В дальнейшем лимфоузлы увеличиваются, и от них отходят тени в виде прожилок.
В первой стадии заболевание проходит бессимптомно. Человек может не подозревать, что у него начинается рак лёгких. Может появиться одышка и быстрая утомляемость. Но поскольку раковые клетки растут очень быстро, в скором времени возникает боль в груди и сухой кашель. В дальнейшем возможна кровавая мокрота.
Мнение врачей:
Канцероматоз лёгких – это распространение раковых клеток из первичного очага в другие органы через лимфатическую систему или кровь. Врачи подчеркивают, что стадии канцероматоза лёгких определяются исходя из места, где обнаружены метастазы. Причинами развития канцероматоза могут быть неэффективное лечение первичного рака лёгких, а также недостаточное вмешательство на ранних стадиях заболевания. Симптомы канцероматоза лёгких могут включать кашель, одышку, боль в груди, слабость, потерю веса. Важно своевременно обращаться к врачу при подозрении на распространение раковых клеток, чтобы начать лечение на ранней стадии и повысить шансы на выздоровление.

Лимфогенный канцероматоз лёгких
Раковые клетки распространяются по лёгочным лимфососудам, и развивается лимфогенный канцероматоз лёгких. Чаще всего он является вторичной стадией рака лёгких или молочной железы.
Клетки рака очень быстро растут, в результате чего заболевание может развиваться стремительно. Возникая где-нибудь в теле человека, клетки размножаются и делятся. По лимфе и плазме они распространяются по телу и оседают в различных органах, образуя метастазы.
Они могут быть в любом месте, но чаще в печени и почках, так как через них проходит вся кровь. Далее они могут попасть в мозг, костную ткань, лимфоузлы. В 25% случаев раковых заболеваний развивается лимфогенный канцероматоз. Чаще им болеют мужчины, и с возрастом риск заболевания увеличивается.
Данная патология имеет несколько типов:
- Мелкоклеточная. Чаще всего возникает у курильщиков. Метастазы очень быстро формируются и растут. Лечение проводят химиотерапией, лечить хирургически её невозможно.
- Немелкоклеточная. Результат может дать хирургическое вмешательство, но не всегда есть возможность его провести. Больные в возрасте могут его не перенести. Поэтому часто его лечат радиотерапией и химиотерапией.
- Плоскоклеточная. Часть лёгкого, имеющая поражение канцеромой, удаляется хирургически, но лишь на первой стадии заболевания.
- Аденокарцинома. Проходит без каких-либо симптомов. Её метастазы переходят в мозг, и это может произойти ещё до того, как заболевание было обнаружено. Если удастся выявить патологию на первой стадии, то её можно будет удалить хирургически.
- Крупноклеточная. Редко выявляется и лечению не поддаётся.
Любое новообразование, если его выявить в начальной стадии, имеет больше шансов на благоприятный прогноз, чем то, которое обнаружено на более поздних сроках.
Причины злокачественных образований в лёгких
Канцероматоз лёгких может возникнуть по разным причинам. Вот некоторые из них:
- Курение. Бытует мнение, что все курильщики должны обязательно заболеть раком лёгких, потому что в сигаретах содержится никотин. Но это не так. Курение действительно может привести к раку лёгких, но виной этому будет не никотин, а другие вещества, которые содержатся в табачном дыме. К ним относятся различные смолы, газ, кислоты. Они имеют свойство накапливаться в организме и в конечном итоге приводят к заболеваниям.
- Радон. Это такой газ, который образуется при распаде радиоактивных веществ. Он всегда присутствует в окружающей среде, но не в большой концентрации. В организм попадает с пылью из воздуха и накапливается в бронхах.
Риск заболевания увеличивается, когда соединения радона вступают в контакт с табачным дымом.
- Асбест. Это вещество, которое находится в достаточном количестве в окружающей среде. Раньше его активно использовали в строительстве. В последнее время от него отказываются, но в старых постройках его можно часто встретить. Попадает в организм с водой и пылью.
- Выхлопные газы. Их всегда много в атмосфере из-за деятельности человека. Они образуются при сжигании топлива в автомобилях. Вещество очень вредное для организма. Попадает в лёгкие из воздуха.
Все эти вещества негативно влияют на лёгочную систему, потому что в воздухе их очень много. Попадая в лёгкие, они там оседают и накапливаются. А через какое-то время образуется новообразование, которое разрушает лёгкие и со временем врастает в соседние органы.

Опыт других людей
Канцероматоз лёгких – это распространение раковых клеток из первичного очага рака в другие части организма через лимфатическую систему или кровь. Люди, столкнувшиеся с этим заболеванием, отмечают его агрессивный характер и быстрое прогрессирование. Симптомы канцероматоза лёгких включают кашель, одышку, боль в груди, слабость, потерю веса и аппетита. Причины развития этого состояния могут быть связаны с недостаточным лечением первичного рака лёгких, а также с наследственными факторами. Для точного диагноза и назначения эффективного лечения необходимо обратиться к онкологу и пройти соответствующие обследования.
Новообразования на плевре
Канцероматоз плевры – это метастазные образования в тканях плевры. Они возникают в то время, когда в организме есть опухоль. Метастазы могут попасть в плевру из любого органа, но чаще возникают из соседних: лёгких, молочных желез, желудка, щитовидки и других.
Наличие метастазов в плевре приводит к накоплению жидкости, в результате чего сдавливается лёгкое и сердце. Ввиду того, что канцероматоз – это вторичный рак, прогноз заболевания крайне неблагоприятный.

Стадии одиночного канцероматоза лёгких и их симптомы
У лёгких нет нервных окончаний, поэтому любая патология в них проходит безболезненно. Боль возникает уже в то время, когда задет какой-то соседний орган. Из-за этого люди не замечают развитие новообразований в лёгких и идут к врачу тогда, когда помочь им уже невозможно. Обычно на последней стадии заболевания.
У каждого этапа болезни свои симптомы:
- На первой стадии опухоль размером до 3 см локализуется внутри лёгкого и никак себя не проявляет. Обнаруживается во время рентгена и удаляется хирургически.
- На второй стадии новообразование увеличивается до 7 см и захватывает лимфоузлы. У больного появляются симптомы бронхита, и если он в это время обратится к врачу, заболевание будет выявлено.
- На третьей стадии опухоль вырастает более 7 см и начинает перебираться на соседние органы. В это время лечение помогает только продлить жизнь, избавиться от рака уже невозможно.
- На четвёртой стадии опухоль захватывает второе лёгкое, сердце, бронхи и продолжает увеличиваться. В этом случае не помогают никакие мероприятия. Больной умирает мучительной смертью.
Лечение карциномы лёгких после второй стадии даёт пациенту не более пяти лет жизни. В случае обнаружения заболевания на первой стадии прогноз более благоприятный, но и в этом случае полного лечения не происходит. Со временем на месте операции появляется рецидивная опухоль, которую также надо удалять, но не все больные могут это выдержать.
Курс химиотерапии, проведённой на последней стадии, даёт больному 20 месяцев жизни.
Канцероматоз лёгких – заболевание, практически не дающее шансов на выживание. Но продлить жизнь на некоторое время возможно, если регулярно проходить обследование и выявлять новообразования в то время, когда их ещё можно вылечить. Часто злокачественное образование начинается с доброкачественного. Оно всегда поддаётся лечению и при правильном подходе можно не допустить осложнений. Своевременно поставленный диагноз всегда даёт шанс избежать худшего.
Частые вопросы
Почему возникает канцероматоз?
Он развивается после появления в организме всего лишь одной мутировавшей – измененной клетки, отличающейся от нормальных. Она возникает из-за влияния различных заболеваний, наследственных особенностей, воздействия химических веществ, радиации или случайных сбоев, растет и создает множество своих копий.
Что такое канцероматоз легких?
Канцероматозом плевры называют метастатическое поражение плевральных листков, обволакивающих легкие и грудную клетку с внутренней стороны. Метастазирование новообразования происходит практически из любой структуры организма.
Можно ли остановить карциноматоз?
В настоящее время лечение канцероматоза брюшины предполагает комплексный подход. Для максимального уничтожения опухолевых клеток проводится их хирургическое удаление (оперативная циторедукция) в сочетании с внутрибрюшинным введением химиотерапевтических препаратов.
Можно ли вылечить канцероматоз?
Перитонеальный канцероматоз (опухоль брюшины) является неблагоприятным прогностическим фактором, данная форма прогрессирующего опухолевого поражения практически не поддается хирургическому лечению, а применение только системной химиотерапии улучшает состояние лишь на некоторое время.
Полезные советы
СОВЕТ №1
При появлении любых симптомов, указывающих на возможное развитие канцероматоза лёгких (как кашель с кровью, одышка, постоянная усталость), обязательно обратитесь к врачу для проведения обследования.
СОВЕТ №2
Ведите здоровый образ жизни: отказ от курения, регулярные физические нагрузки, здоровое питание – это поможет снизить риск развития онкологических заболеваний, включая канцероматоз лёгких.





